II/ L'importance du sommeil chez les jeunes
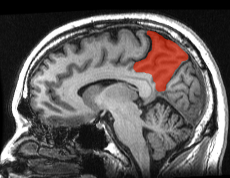
- le cortex frontal (ou lobe frontal) qui sert au langage, à la mémoire, au raisonnement et aux prises de décisions
- le cortex cingulaire antérieur qui joue un rôle dans les émotions, l'empathie et la prise de décision ;
- le précunéus (zone du lobe pariétal), une région servant à la représentation spatiale de l'environnement et à calculer à l'avance nos mouvements.
(1) matière grise : partie du cerveau contenant les corps cellulaires des cellules nerveuses (les neurones).
(2) IRM : ensemble des techniques permettant d'obtenir des images à partir de la résonance magnétique nucléaire.
Ainsi, le manque de sommeil affecte la maturation cérébrale. Lors de cette dernière, une sélection des connections nerveuses est réalisée et certaines seront gardées jusqu'à l'âge adulte tandis que d'autre seront éliminées... alors autant bien dormir pour avoir des connections nerveuses fonctionnelles.
De plus, le sommeil est très important pour les jeunes car c'est pendant ce dernier qu'est sécrétée par le cerveau l'hormone de croissance, aussi appelée somatotropine. Celle-ci permet, quand on est jeune de grandir, et de régénérer les cellules quand on est adulte. Cette hormone est sécrétée au niveau de l'hypophyse, sous l'influence de deux autres hormones : le GHRH activateur (qui augmente la concentration intracellulaire de calcium des cellules qui sécrètent l'hormone de croissance) et la somatostatine inhibitrice (qui a un contrôle inhibiteur sur la sécrétion de la somatotropine). L'hormone de croissance agit indirectement sur les cartilages. Elle est transportée jusqu'aux cellules du foie où elle se fixe sur des récepteurs spécifiques. Cela provoque la synthèse et la libération d'un facteur qui stimule la maturation et la croissance de l'os.
Ainsi, les jeunes doivent impérativement avoir un bon sommeil car la sécrétion de la somatotropine est maximale à l'adolescence. Sans cette molécule, ils pourraient avoir une petite taille toute leur vie !
Une autre hormone est sécrétée durant le sommeil, c'est la mélatonine. Appelée aussi l'hormone du sommeil, elle est connue pour être l'hormone centrale de régulation des rythmes chronobiologiques. La mélatonine régule de nombreuses sécrétions hormonales, chez l'humain et les autres mammifères. Cette hormone est sécrétée par la glande pinéale avant d'être transportée par le sang à travers tout le corps. La glande pinéale étant directement liée au nerfs optiques, est donc en prise directe avec la lumière. Ainsi, tant que ces nerfs perçoivent la lumière, la glande pinéale ne sécrète pas de mélatonine. L'hormone du sommeil a donc pour rôle principal de réguler l'horloge biologique. En effet, c'est sa présence dans le sang qui indique à
l'organisme qu'il fait jour ou qu'il fait nuit. Ainsi, elle indique à
l'organisme qu'il est temps de dormir.
Le flux de mélatonine rythme donc le déclenchement de l'éveil et du sommeil. Quand une grande quantité de mélatonine est présente dans le sang, l'organisme sait qu'il est temps de se mettre au repos. Au contraire, si la quantité d'hormone du sommeil dans le sang est faible, le corps pense alors qu'il fait jour, il active donc son mode "réveil".
Si le corps ne produit pas assez de mélatonine, des troubles du sommeil ont tendance à apparaitre.
La chronobiologie est une discipline scientifique étudiant les rythmes biologiques dans l'organisme.
D'après une étude américaine, rester trop longtemps devant des écrans numériques empêcherait de dormir. Aujourd'hui, à cause de la télévision, des consoles de jeux et des ordinateurs qui réduisent le temps de sommeil, les français dorment une heure de moins qu'il y a cinquante ans. À en croire les résultats d'une étude américaine parue dans la revue Applied Ergonomics, il faudrait veiller à modérer leur utilisation quelques heures avant le coucher. En effet, la lumière bleue émise par les écrans perturbe l'hormone du sommeil et sans cette dernière, il n'y a point de repos. Or, la fabrication de mélatonine peut être interrompue par la lumière bleue, un type de rayonnement émis par les diodes électroluminescentes (LED) utilisées pour le rétroéclairage, une technologie présente sur les nouveaux appareils numériques. Des chercheurs du Lighting Research Center au Rensselaer Polytechnic Institute ont analysé l'influence de l'utilisation des tablettes sur la production de mélatonine. Ils ont analysé les taux de mélatonine chez 13 participants, en majorité adolescents, après qu'ils aient joué, lu ou regardé des vidéos sur une tablette rétroéclairée, dans l'obscurité. Au bout de deux heures d'exposition à la lumière émise par les tablettes, la suppression de mélatonine chez les sujets a été d'environ 22%. Pour parer à cette privation de sommeil due aux LED bleues, des lunettes et des filtres teintés d'orange ont été commercialisés et les auteurs de l'étude américaine conseillent de réduire au maximum la luminosité de leurs écrans une fois la nuit tombée et de limiter leur utilisation avant l'heure d'aller se coucher.
Le cortisol est également une hormone sécrétée durant le sommeil, par les glandes surrénales. Elle joue plusieurs rôles importants dans l'organisme en participant :
- Au métabolisme des glucides, des lipides et des protéines qui permet de réguler la glycémie et de stimuler la libération des lipides et des protéines dans la plupart des tissus ;
- À la réaction anti-inflammatoire ;
- À la régulation de la pression artérielle ;
- À la croissance osseuse ;
- À la réponse au stress : le cortisol est souvent surnommé l'hormone de stress car son rôle est d'aider l'organisme à y faire face, en mobilisant l'énergie nécessaire pour nourrir les muscles, le cerveau et le cœur.
Le taux de cette hormone est maximal le matin et diminue au cours de la journée pour atteindre son niveau le plus faible le soir, il varie donc selon les heures diurnes et nocturnes.
Ainsi, un manque de sommeil augmente le taux de cortisol.
Les catécholamines sont également des substances produites durant le sommeil. Elles regroupent trois hormones qui sont la noradrénaline, l'adrénaline et la dopamine :
• La noradrénaline est un neurotransmetteur (3) qui joue un rôle dans l'excitation, l'orientation de nouveaux stimuli, l'attention sélective, la vigilance, les émotions, le réveil et le sommeil, le rêve et les cauchemars, l'apprentissage et le renforcement de certains circuits de la mémoire impliquant un stress chronique.
• L'adrénaline est un neurotransmetteur produit en réponse à un état de stress ou en vue d'une activité physique. Elle entraîne une accélération du rythme cardiaque, une augmentation de la vitesse des contractions du cœur, une hausse de la pression artérielle et une dilatation des bronches et des pupilles. Elle répond à un besoin d'énergie, comme par exemple faire face au danger.
• La dopamine est un neurotransmetteur qui permet la communication au sein du système nerveux. Elle renforce les actions habituellement bénéfiques, comme manger un aliment sain, en provoquant la sensation de plaisir, ce qui active le système de récompense/renforcement. Elle joue un rôle dans la motivation et la prise de risque chez les mammifères.
Ces dernières, produites par le système nerveux durant un choc émotionnel ou physique, facilitent la propagation de l'influx nerveux (4) au sein du cerveau. Cela permet alors de libérer davantage de glucose et d'acides gras dans le but d'augmenter l'apport énergétique, d'augmenter la pression artérielle ou d'accélérer la fréquence cardiaque pour que l'individu puisse avoir une réaction adaptée à un danger qui se présente à lui.
Après avoir accomplie leur mission, les catécholamines sont transformées en éléments inactifs. Or, certaines tumeurs en produisent d'importantes quantités dans le sang et les urines. Ainsi, un taux élevé de catécholamines peut induire une hypertension artérielle et des troubles du rythme cardiaque qui peuvent révéler l'existence de tumeurs comme le neuroblastome (une tumeur maligne) et le phéochromocytome (une tumeur bénigne) qui peuvent, par la suite, se transformer en cancer.
(3) neurotransmetteur : substance qui assure la transmission de l'influx nerveux
(4) influx nerveux : phénomène semblable à un courant électrique qui se propage dans le nerf et transmet les commandes aux muscles, les sensations au cerveau.
Une
étude scientifique, menée par l'Institut National du Sommeil et de la
Vigilance, a souligné l'importance de la qualité du sommeil pour
prévenir la survenue et l'aggravation du diabète (5) . En effet, le temps de
sommeil joue un rôle clé dans la régulation de la glycémie : dormir
moins de six heures par nuit donnerait un risque d'avoir un diabète car le contrôle
glycémique de l'organisme serait fortement perturbé en cas de manque
de sommeil. Plusieurs études ont observé que la quantité d'insuline (6) produite était diminuée de 30 %, et
que sa résistance augmentait de 50 %.
Un temps de sommeil trop long serait également problématique : les personnes dormant plus de 9 heures ont plus de chance d'être un jour diabétique.
De même, d'autres études ont démontré l'impact de la
restriction du sommeil sur l'appétit. Le manque de sommeil réduit le
taux de leptine, une hormone responsable de la sensation de satiété et
augmente le taux de ghréline, qui au contraire stimule l'appétit. Ainsi,
un sommeil de mauvaise qualité conduit à une prise alimentaire trop
importante et à une prise de poids, pouvant ensuite provoquer un diabète de type 2.
Il est donc essentiel de dormir suffisamment pour diminuer les risques de développer un diabète.
(5) diabète : une maladie chronique survenant lorsque le pancréas ne produit pas assez d'insuline ou lorsque l'organisme n'est pas capable d'utiliser efficacement l'insuline qu'il produit. Cela se traduit par un taux de sucre dans le sang élevé : on parle d'hyperglycémie.
(6) insuline : hormone sécrétée par des cellules du pancréas. Elle diminue le taux de glucose (sucre) dans le sang, c'est à dire la glycémie.
Selon l'article "Dormir peu altère nos gènes" de Elena Sender, le fait de dormir moins de six heures durant la nuit détériore sept cent gènes ! Or, le rôle de ces derniers est de réguler le système immunitaire (en nous défendant contre les maladies), le cycle de veille et de sommeil, le métabolisme et la réponse au stress. Par conséquent, bien dormir permet aux adolescents d'être moins malades et d'être moins sujets au stress.
Le nombre de personnes qui manquent de sommeil ne cesse de croître, et ce sont les jeunes qui sont le plus concernés. Selon une étude réalisée aux États-Unis, la durée de sommeil a diminué de une heure quarante en quarante ans et le taux de personnes dormant moins de six heures a augmenté de 5 à 10%.





















